Schmerzen im Rück-, und Mittelfuß

Die Erkrankungen des Rück-, und Mittelfußes sind eher selten und für den Patienten eine äußerst schmerzhafte Angelegenheit. Die Diagnose wird häufig spät gestellt da falsches Schuhwerk für die Schmerzen verantwortlich gemacht wird. Die Ursache für Beschwerden ist in der Regel der Verschleiß (Arthrose) einzelner Gelenke. Ein Unfallmechanismus (z.B. Verdrehtrauma) ist selten erinnerlich und liegt manchmal viele Jahre zurück. Die Gelenkverbindungen des Mittelfußes sind straff und das Bewegungsausmaß ist gering. Die Therapie mit Einlagen und einer angepassten Schuhversorgung ist auf Grund der vielen Knochen und Gelenkverbindungen dauerhaft für den Patienten wenig zufriedenstellend. Die Therapie der Wahl bei anhaltenden Beschwerden ist die Fusion (Arthrodese) der erkrankten Gelenke. Die biomechanischen Auswirkungen auf den Fuß sind gering, da es sich ohnehin um wenig bewegliche Gelenke mit flachen Oberflächen handelt. Ziel des Eingriffs ist die Wiedererlangung eines schmerzfreien Gangbildes ohne die Notwendigkeit einer orthopädischen Schuhversorgung.


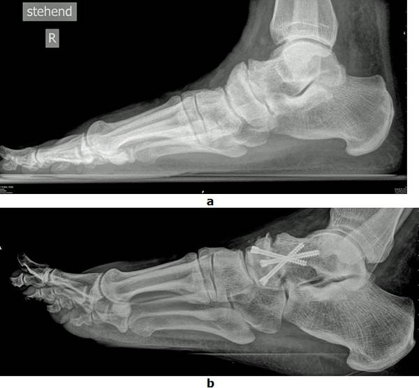
Abb.1 a: Arthrose zwischen Mittelfuß und Vorfuß (TMT Gelenk) b: Fusion des Gelenkes mit einer Spezialplatte
c: Die verwendete Stabilisierung erlaubt einen minimalinvasiven Zugang. Das Klammer/Schraubensystem erlaubt eine maximale Kompression auf den Fusionsspalt und verbessert die Heilungsrate.


Abb.2: a Schmerzhafte isolierte Arthrose eines Mittelfußgelenkes (Talonaviculargelenk) mit Knochenanbauten. Trotz orthopädischer Schuhe war ein schmerzfreies Laufen nicht mehr möglich
b Isolierte Fusion des kaputten Gelenkes mit 3 Schrauben. Nach der Operation konnte der Patient wieder ohne Hilfsmittel Gehen.

Die Operationen an Rück-, und Mittelfuß werden in der Regel kurzstationär durchgeführt. An Stelle eines Gipses wird in der Nachbehandlung ein bequemer Spezialschuh (Walker) verwendet mit dem schon kurz nach der Operation die ersten Gangübungen durchgeführt werden. Auf Wunsch werden Schrauben oder Platten nach Heilung des Knochens wieder entfernt.

Termin
online buchen

Orthopädische Gemeinschafts-praxisOrthopädische PrivatpraxisDoctolib